診療内容
CT検査
CT検査について
東京品川フロントクリニックでは、キヤノン80列CTを導入し、CT検査を実施しています。これは低放射線量でありながら高精細画像を撮像できる検査機器で、患者様の状態を適切に判断することに役立ちます。
CT画像は、外来担当医がまず一次読影を行い、さらに横浜市大及び聖路加国際病院放射線科の放射線科診断専門医が二次読影を行っております。
CT(コンピューター断層撮影)
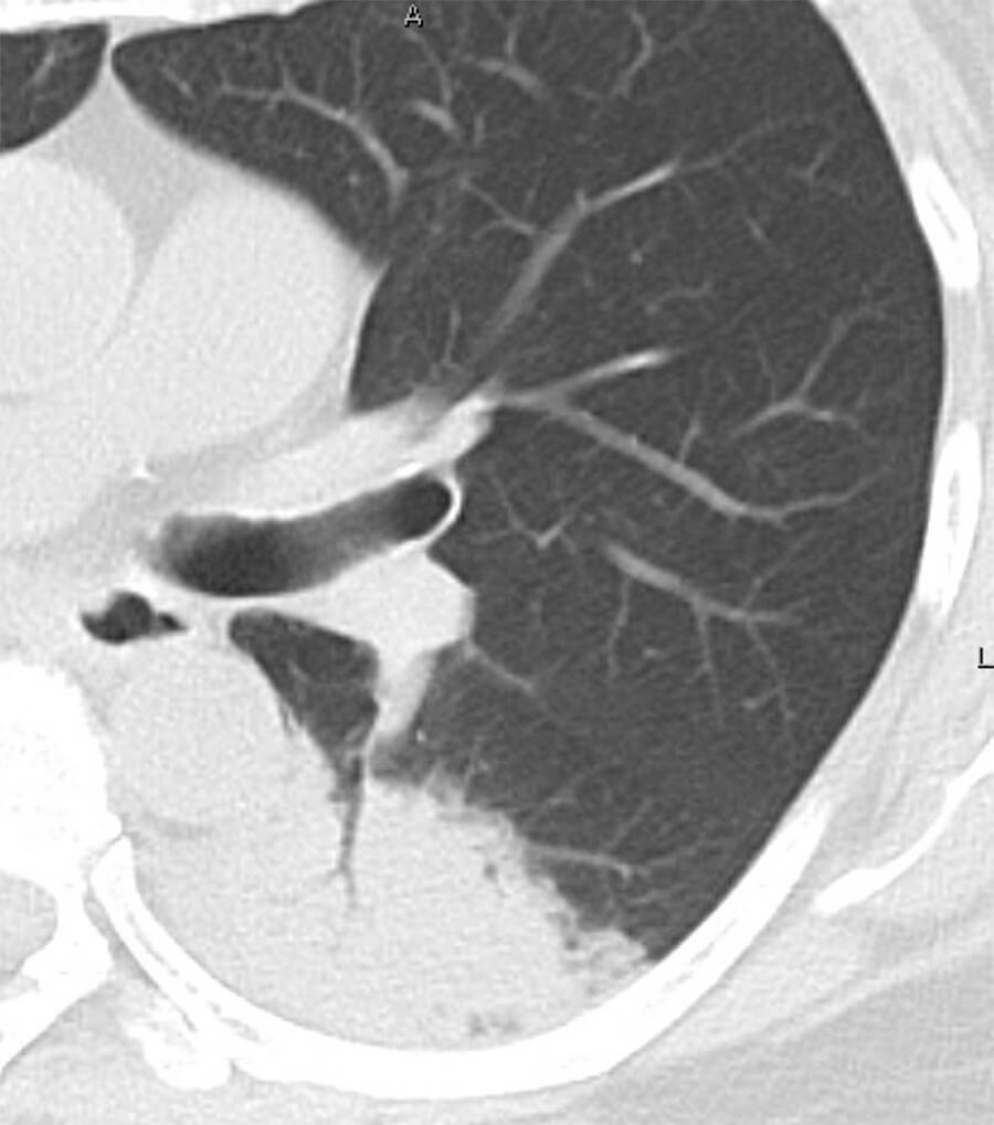
CT(Computed Tomography)は、X線を用いて体内の断面画像を撮影する医療機器です。
ドーナツ状のガントリと呼ばれる機械の中で、X線管と検出器が高速で回転し、複数方向からのデータを取得します。これらの情報をコンピューターで処理することで、人の体の内部構造を輪切り状に可視化し、臓器や血管、骨、病変などの異常を詳細に確認できます。
このCT検査は小さな病変の発見や疾患の広がりの評価に優れており、画像データから任意断面像やカラー3次元画像を作成することが可能で、より正確な診断を行えるというメリットがあります。
検査はベッドに横になったまま数分で完了し、苦痛もほとんどありません。頭の先から爪先まで撮影することにより、以下のような癌などの様々な疾患の発見、診断を行うことができます。
CTによる検査は、自覚症状が乏しい段階での異常を見つけられることも多く、早期発見・早期治療に大きく貢献する重要な検査です。検査についての不明点などがございましたら、当院スタッフに遠慮なくご相談ください。
【CT検査が診断に有効な疾患例】
- 脳出血
- 頭頸部癌
- 肺炎
- 肺癌
- 間質性肺炎
- 肝臓癌
- 腎臓癌
- 婦人科癌
- 進行した消化管の癌
- 虫垂炎
- 憩室炎
- 大動脈瘤
- 尿路結石
- 腎結石
- 各部位の骨折
- など
CT検査を受けられる方へ
胸部を撮影する予定の方へ
胸部CT検査は、肺癌、肺炎、肺気腫、間質性肺炎、気管支拡張症、慢性気管支炎などの呼吸器疾患の診断に有効です。撮影中、スタッフより息を止める指示がある場合があります。できる範囲でご協力いただくことで、より鮮明な画像が得られます。
検査当日は金属を含む下着やネックレスなどを避けてお越しください。湿布やエレキバンも撮影に影響しますので、貼らないでご来院ください。ボタンやファスナー、装飾やプリントのない(プリント部分に金属成分が含まれている場合があります)薄手のTシャツなどが推奨されます。特に女性の方は、刺繡やワイヤー、ホックの付いた下着や、金属やプラスチックが肩ひもに使われている服などでは撮影ができませんのでご注意ください。
検査に支障がある下着などを着けてご来院された場合は、専用更衣室にて検査着に着替えていただきます。
腹部を撮影する予定の方へ
腹部CTでは、肝臓、胆のう、膵臓、腎臓、腸などの疾患を評価します。癌や炎症、結石などの診断に役立ちます。検査前に食事を控える必要がある場合がありますので、事前の案内にご注意ください。
検査に際しては、金属製のベルトやボタン、ファスナー、金属付きの下着などは画像に影響を及ぼすため、それらの付いていない服装でご来院になるか、基本的には専用更衣室にて検査着に着替えていただきます。
頭頸部を撮影する予定の方へ
頭頸部のCT検査では、頭痛、めまい、顔面の痛みやしびれ、耳や鼻の違和感、頸部の腫れなどの原因精査を行います。脳出血や脳腫瘍の有無、鼻や副鼻腔の病変などを詳しく調べていきます。検査は数分で終了しますが、撮影中は頭を動かさず安静を保つことが大切です。
検査に際しては、眼鏡、補聴器、ピアス、ヘアピンなど金属類、さらに帽子やウィッグも外していただきます。紛失などのトラブルを防ぐため、検査当日はアクセサリーなどをなるべく外してご来院ください。
検査にあたってのご注意
下記に該当する方は、事前に担当医師にご相談ください。場合によっては検査を行えないことがあります。
- 心臓ペースメーカー及びICD(植込み型除細動器)を使用している方
- 妊婦または妊娠の可能性のある方
- 閉所恐怖症の方
※専用更衣室等でのアクセサリーなど貴金属類・貴重品の紛失につきましては、当院では一切の責任を負いかねます。なるべくアクセサリーは外し、貴重品は持たずにご来院ください。
呼吸器に関するCTについて
呼吸器疾患の検査には、胸部CT検査はとても有効です。CTではコンピューターで処理して体の輪切り像を作り、立体的かつ断層的に肺や気管支、縦隔、胸膜など胸部内の構造を詳細に映し出します。数ミリの小さな結節といったX線撮影では見逃されがちな小さな病変も捉えることができ、肺癌の早期発見に非常に役立つとされています。特に無症状で進行する肺癌を早期に発見するためには、CT検査は欠かせません。
胸部CTの肺癌の検出能力は胸部単純写真(胸のX線検査)よりも有効であるとされ、肺癌検診に関する新たなガイドライン『有効性評価に基づく肺がん検診ガイドライン2025年度版』(国立がん研究センター)によると、低線量CT検診が50歳から74歳の重喫煙者を対象に推奨となりました。海外ではすでに、肺癌検診をCTで行う国もあります。
このほかCTは、肺気腫や間質性肺炎、肺結核、気管支拡張症、感染性肺疾患、縦隔腫瘍などの診断にも用いられます。胸部の違和感、長引く咳、喀血、呼吸困難などがある場合は、早めの検査が勧められます。
各種検査でよく見られる所見
肺気腫
肺胞が破壊されて空気のたまり(ブラ)が形成され、肺の構造が壊れる状態です。CTでは肺の一部が黒く抜けたように見えます。肺の容積が大きくなって密度が低下することにより、たまった空気を押し出せなくなり、肺でのガス交換が困難になり、息切れや慢性的な咳などの症状が現れるようになります。慢性閉塞性肺疾患(COPD)の特徴的な一形態とされています。
肺気腫の原因は主に喫煙ですが、受動喫煙によるリスクも大きいとされています。肺気腫が疑われる場合は、呼吸機能検査も行って診断を確定します。肺気腫では、一度壊れた肺胞が元に戻ることはないため、完治することはありません。壊れていない部分の肺の機能を維持していくことが治療目標となります。
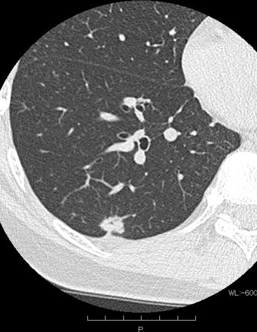
結節影・腫瘤影
結節影とは肺の中にできた直径3cm以下小さな塊のような影で(3cmより大きいものは「腫瘤影」と呼ばれます)、大きさや形状、境界の明瞭さによって悪性の可能性を評価し、必要に応じて追加検査が行われます。肺癌が疑われる場合は速やかに高次機能病院へご紹介をさせて頂きます。
スリガラス陰影
肺の透過性がやや低下し、すりガラスのようにぼんやりと白く見える所見です。ウィルス性肺炎や肺胞出血、間質性肺炎、肺水腫、高分化型肺腺癌など様々な原因が考えられます。
一度のCT検査で診断がつくこともありますが、積極的検査等を特に行わずに3から6ヶ月毎のCTによる経過観察を行うことで診断をつけていくこともあります。
当院では呼吸器専門医と放射線科診断専門医が連携して診断・経過観察・治療を行います。肺癌やその他の重大な肺疾患が疑われる場合は高次医療機関にご紹介いたします。
浸潤影
浸潤影は、肺の一部が白のクレヨンで塗りつぶしたかのように見える所見で、肺炎や出血、腫瘍、器質化肺炎などが考えられます。細菌感染による場合は、適切な治療によって改善することがほとんどですが、肺炎の中に肺癌が隠れていることもあり経過を診ていくことが大切です。
間質性肺炎
肺の間質(構造の支えとなる組織)が炎症や線維化を起こしている状態で、すりガラス陰影や網状影、蜂巣状変化などがCTで確認されます。息切れや乾いた咳が長く続くのが特徴で、進行すると呼吸不全に至ります。初期においては、健診などで行われる胸部単純写真(X線写真)では見逃されることも多いため、症状や経過をみて、特に長引く咳や労作時の息切れがある場合には、早期のCT検査が推奨されます。
当院では、複数の呼吸器専門医及び放射線科診断専門医がカンファレンスを行い、間質性肺炎の精密検査・治療が必要と判断された場合は、速やかに連携高次医療機関へご紹介いたします。

